Рентгенодиагностика в стоматологической клинике "Стоматолог и Я"
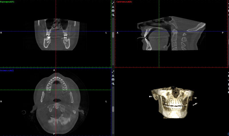
Спектр рентгенодиагностических услуг в нашей клинике широк – от прицельного снимка одного зуба, ортопантомограммы, до объёмного 3Д исследования смежных областей (височно-нижнечелюстные суставы, кости лица и черепа, верхнечелюстные ( Гайморовы ) пазухи.

Результат отображается сразу на экране компьютера у доктора, это не требует специальных лабораторий для обработки и проявления.
При необходимости мы напечатаем снимок на бумаге, запишем на диск, флешкарту, либо отправим вам по интернету.
Стоимость услуг рентгенодиагностики
| Прицельный снимок одного зуба | 300 |
| 3D КЛКТ (запись на CD)/одна челюсть | 1200 |
| 3D КЛКТ (запись на CD)/две челюсти | 1900 |
| 3D КЛКТ (запись на CD)/две челюсти + гайморовые пазухи | 2900 |
| 3D КЛКТ 1 объем (3 единицы) | 800 |
| Снимок ОПТГ | 850 |
| ТРГ в прямой проекции | 850 |
| ТРГ в боковой проекции | 850 |
Обращаем ваше внимание - диагностика стоматологических заболеваний в нашей клинике производится с использованием высокоточного рентгеновского аппарата PLANMECA ProMax 3D Plus, что позволяет получить трехмерное цифровое изображение для тщательного изучения клинической ситуации при низкой лучевой нагрузке пациента.

Также на всех этапах лечения зуба мы проводим контроль на высокоточном современном визиографе PLANMECA ProX и Dr.Suny с избирательной дозой облучения, благодаря чему лучевая нагрузка на пациента сводится к минимуму.
В работе обязательно используются современные защитные средства и индивидуальный дозиметрический контроль.

Когда рентген зуба необходим
С помощью рентгена врач может увидеть состояние каждого зуба и его корней, рядом расположенные органы и ткани. Процедура помогает поставить правильный диагноз перед началом лечения и позволяет оценить качество работы стоматолога во время лечения и после его окончания, что очень важно при пломбировании каналов, удалении зубов, установке имплантатов.