Услуга отбеливания зубов в стоматологической клинике "Стоматолог и Я"
Процедура отбеливания зубов в нашей клинике проводится с использованием технологии Beyond Polus, которая доступна только в стоматологическом кабинете.Beyond Polus - мировой лидер производства профессионального оборудования для эстетической стоматологии, главные условия которого -
БЕЗОПАСНОСТЬ, ЭФФЕКТИВНОСТЬ, КОМФОРТ.
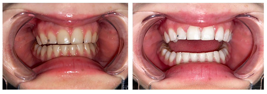
На фото ниже - результат отбеливания зубов за 1 процедуру

Стоимость услуг профессионального отбеливания зубов
| Отбеливание одного зуба | 300 |
| Отбеливание Beyond | 16000 |
| Офисное отбеливание один цикл | 3800 |
| Офисное отбеливание | стоимость процедуры уточняйте на консультации |
| Отбеливание зубов (зона улыбки) | стоимость процедуры уточняйте на консультации |
| Карандаш для отбеливания | стоимость уточняйте на консультации |
| Препарат для отбеливания (один шприц) | стоимость уточняйте на консультации |
Преимущества отбеливания зубов с помощью технологии Beyond:
Быстрый результат: до 8 тонов за 30 минут
Чтобы достичь такого результата, пациент должен пройти за один визит к стоматологу 3 одинаковых сеанса осветления эмали, каждый из которых занимает по 10 минут (т.е. состав три раза подряд наносится на эмаль, после чего врач включает лампу, потом удаляет излишки слюноотсосом. Затем эта процедура повторяется еще дважды).Итог – белоснежная улыбка всего за полчаса.
Безопасное отбеливание даже для чувствительных зубов
Процедура оказывает щадящее воздействие на эмаль зубов.Аппарат Beyond имеет несколько режимов работы и врач может корректировать на нем интенсивность подачи света, в зависимости от клинической картины, :
Gentle: для тех, у кого нарушена целостность эмали.
Например, на ней присутствуют трещинки, дефекты, имеются сколы.
Такой режим подойдет вам и в том случае, когда зубы очень чувствительные и реагируют в быту на перепады температур,
Normal: для пациентов со здоровой эмалью желтого или иного пигментированного оттенка, полученного вследствие употребления напитков и продуктов питания, курения.
Intense: подходит тем, у кого имеется ярко выраженное изменение оттенка эмали, полученное вследствие приема тетрациклиновых препаратов, в результате возрастных изменений и флюороза. Также рекомендуется тем, кто хочет значительно преобразить улыбку, достигнуть голливудской белизны эмали (но только при условии, что зубы здоровы, а эмаль не тонкая).
Кроме того, аппарат оснащен специальным таймером и пультом управления, который врач выдает пациенту.
В случае ощущения дискомфорта пациент может самостоятельно отключить подачу света.
Вы можете отбелить всего один или несколько зубов
На стационарном отбеливающем аппарате Beyond Polus предусмотрена насадка, которая позволяет выполнить отбеливание эмали точечно.Продолжительность процедуры - всего 12 минут. Именно столько будет длиться сеанс точечного воздействия.
Рекомендации перед отбеливанием зубов
Перед процедурой отбеливания зубов нужно:→ вылечить больные зубы
→ пройти профгигиену полости рта, удалить налет и отложения
→ укрепить эмаль при помощи витаминов изнутри и паст снаружи
Противопоказания для отбеливания зубов системой Beyond Polus
возраст до 18 лет;беременность;
аллергия на компоненты осветляющего геля;
сахарный диабет;
кариозное поражение зубов (осветление можно делать после успешного лечения);
патологическая стираемость зубов;
зубы под искусственными коронками и винирами осветлять нельзя.
Как долго сохраняется результат при отбеливании зубов
Результат может сохраниться более 1 года и больше только при условии бережного отношения к своему состоянию и внешнему виду.Сохранить результат просто, если придерживаться стандартных правил:
1. Минимум 48 часов после отбеливания придерживаться белой диеты (но желательно - пару недель) - исключить употребление кофе и красного вина, газировки, морсов, ягод, соусов.
2. Не курить.
3. Несколько раз в год проходить профгигиену полости рта для поддержания хорошего результата.
Как происходит отбеливание зубов Beyond

Beyond Polus – усовершенствованный профессиональный комплекс отбеливания, в который входит специализированное оборудование (установка с лампой и сенсорной панелью управления) и отбеливающий гель на основе 35% перекиси водорода.
Кроме того, сам гель предварительно перед нанесением на эмаль, смешивается со специально разработанным производителем составом, который позволяет нейтрализовать вред от перекиси, укрепить эмаль, оказывает реминерализующий эффект, способствует снижению дискомфорта для пациентов с самыми чувствительными зубами.

В основе методики – «холодное» отбеливание
Большинство методов отбеливания зубов основано на использовании специального состава с перекисью водорода, который предварительно наносится на эмаль пациента и активируется под воздействием тепла, света или химического активатора.
Как следствие, из геля начинают высвобождаться молекулы активного кислорода, они проникают в эмалево-дентинный слой и окисляют цветовой пигмент, послуживший причиной потемнения или пожелтения эмали.
Американская корпорация Beyond International Inc. заявляет, что создала принципиально новый подход.
Активация компонентов геля в данном случае проходит под воздействием LED-лампы и галогенового света.
Перегрева эмалево-дентинного слоя зуба не происходит.
Лампа продуцирует не теплый, а холодный свет голубого спектра, он при попадании на зубы дополнительно проходит через 12 ступеней защиты и через специальные линзы, которые блокируют вредоносное инфракрасное излучение и защищают вас от ультрафиолета.